
Autoimmune Disease Patients Face Significantly Higher Skin Cancer Risk
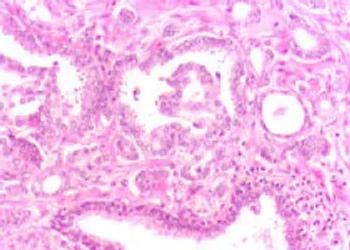
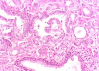
Patients with a rare disease called mucous membrane pemphigoid are at risk of developing squamous cell carcinoma and basal cell carcinoma, finds a new study.
Patients with mucous membrane pemphigoid (MMP) face nearly double the risk of developing certain skin cancers compared to the general population, according to a large-scale
The research, led by Philip Curman, M.D., of Karolinska University Hospital in Sweden, analyzed data from more than 117 million U.S. individuals and found that those with severe MMP had more than twice the risk of developing squamous cell carcinoma and basal cell carcinoma, common types of skin cancer.
The study showed the highest risk was for squamous cell carcinoma, with MMP patients having a 1.9-fold increased risk. The risk for basal cell carcinoma was 1.5 times higher, while overall non-melanoma skin cancer risk was 1.8 times higher than in matched controls.
MMP is a chronic autoimmune condition that primarily affects mucous membranes, causing painful erosions in the mouth, eyes and other areas. About a quarter of patients also develop skin lesions. The condition is rare; fewer than 5,000 people in the United States have this disease,
MPP can develop anytime, although it affects more women than men, and onset typically occurs in people in their 70s. The disease can be debilitating, with lesions leading to complications such as blindness, strictures in the esophagus and chronic pain.
Treatment for MMP typically depends on disease severity, with anti-inflammatory medications and topical corticosteroids used in mild cases. More severe disease, especially with eye or widespread mucosal involvement, often requires systemic corticosteroids and long-term use of immunosuppressive therapies to control inflammation and reduce steroid dependence.
Patients with severe disease showed substantially higher risk, with approximately doubled rates for all non-melanoma skin cancers. Analysis of patients at different time points showed the risk was present both in the short term and long term.
The increased risk of skin cancer among MMP patients, particularly those with severe disease, may be driven not only by chronic inflammation but also by the long-term use of systemic immunosuppressants, which weaken the body’s ability to detect and eliminate cancerous cells.
However, the researchers noted that the elevated cancer prevalence seen in patients with MMP appeared within five years of diagnosis—so treatment alone is unlikely to be the sole factor.
“These findings underscore the importance of regular skin cancer screening and risk-based monitoring in MMP patients, particularly those with severe disease," the study authors wrote. "Integrating dermatologic surveillance into routine care could facilitate early detection and timely intervention.”
One limitation, the researchers said, was the absence of specific autoantibody data, such as anti-laminin 332, which prevented examination into potential differences between MMP subtypes. Anti-laminin 332 is a rare subtype of the disease where lesions tend to scar. Another limitation could be the use of medications as a proxy for severity stratification.
But they emphasize that a large and diverse cohort allows for generalizability of the findings and a comparison of mild and severe patients with MMP.
Newsletter
Get the latest industry news, event updates, and more from Managed healthcare Executive.




















































